Functional Orthodontics

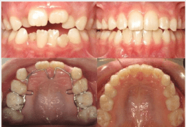
Traditional orthodontics typically treats teenage children with the aim of straightening teeth and “fixing” the bite. Conversely, Functional Orthodontics can be performed on kids as young as 4 years old with the aim of jaw development. This approach, also known as Early Orthopedic Orthodontics creates more room in the jaw for proper tongue placement, breathing, and speech patterns. In many cases, if jaw development is corrected at an early age, the permanent teeth have a better chance of coming in straight, thus decreasing the need for future braces.
We have found that it is usually advantageous to treat the growing patient in phases. Phase One helps redirect growth more favorably, followed by a monitoring phase during which we wait for all of the remaining permanent teeth to grow into place. Once all the permanent teeth have erupted, we re-evaluate to determine if a second phase is necessary. Phase Two treatment is commonly shorter in duration compared with traditional orthodontics and is often not required at all.
Myo-functional Appliances are removable acrylic appliances, and are successful in repositioning jaws, especially for the child with either an upper or lower jaw that is retrusive (or, set too far back.) These appliances help stabilize the bite and encourage growth in the forward direction, thus improving oral function and facial profiles.
Functional Orthodontics

Traditional orthodontics typically treats teenage children with the aim of straightening teeth and “fixing” the bite. Conversely, Functional Orthodontics can be performed on kids as young as 4 years old with the aim of jaw development. This approach, also known as Early Orthopedic Orthodontics creates more room in the jaw for proper tongue placement, breathing, and speech patterns. In many cases, if jaw development is corrected at an early age, the permanent teeth have a better chance of coming in straight, thus decreasing the need for future braces.
We have found that it is usually advantageous to treat the growing patient in phases. Phase One helps redirect growth more favorably, followed by a monitoring phase during which we wait for all of the remaining permanent teeth to grow into place. Once all the permanent teeth have erupted, we re-evaluate to determine if a second phase is necessary. Phase Two treatment is commonly shorter in duration compared with traditional orthodontics and is often not required at all.
Myo-functional Appliances are removable acrylic appliances, and are successful in repositioning jaws, especially for the child with either an upper or lower jaw that is retrusive (or, set too far back.) These appliances help stabilize the bite and encourage growth in the forward direction, thus improving oral function and facial profiles.











